
NOS TRAITEMENTS
1. IMPLANTOLOGIE
A. ÉDENTEMENT PARTIEL
Remplacement de 3 dents postérieures par 2 implants et un bridge transvissé de 3 dents. Ici un comblement du sinus à été réalisé, avant la pose des implants à 7 mois.
Et enfin une dernière intervention pour augmenter l'épaisseur et la qualité de la gencive autour des implants.








B. IMPLANTS EN ZONE ESTHÉTIQUE
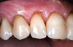
a. Remplacement d'une incisive
centrale maxillaire
Vue à 4.5 mois après l'intervention d'extraction implantation immédiate et épaississement gingival dans la même séance d'une incisive centrale maxillaire trop délabrée pour supporter une couronne.
Une dent provisoire est placée le même jour ou le lendemain de l'intervention et la couronne finale placée après l'ostéointégration et la maturation des tissus mous.
b. Remplacement de deux incisives maxillaires (centrale et latérale)
Remplacement des 2 incisives manquantes suite à un traumatisme.
Les 2 images du haut montrent la situation initiale et celles en bas la situation finale après extraction de la racine résiduelle, traitement de la maladie parodontale sans chirurgie, placement des implants et pose des couronnes céramiques vissées sur les implants.



.jpg)
_JPG.jpg)




ÉDENTEMENT COMPLET
1er cas, sans fausse gencive
6 implants dans la majorité des cas permettent la réalisation d'un bridge complet vissé et la réhabilitation de l'esthétique du sourire et de la fonction masticatoire.
Un bridge provisoire immédiat est placé le jour même ou le lendemain de l'intervention à chaque fois que la situation le permet.
2ème cas, sans fausse gencive
Voiçi un autre bridge vissé sur 6 implants en vue de face.






3ème cas, avec fausse gencive
Dans les situations de résorption osseuse trop importante souvent dues au port de prothèse amovible depuis plusieurs années, nous réalisons des bridges avec fausse gencive en zircone ou résine pour recréer le plus fidèlement possible le sourire au naturel.
2. ANALYSE ESTHÉTIQUE
Avant la réalisation des soins de réhabilitation globale fonctionnelle et esthétique du sourire, nous réalisons une analyse complète du visage et de la bouche par la photographie, la vidéo et les empreintes numériques pour vous permettre de visualiser le projet et avoir une idée du résultat avant de commencer les travaux.








3. RÉHABILITATIONS DU SOURIRE
Exemples de réhabilitation après validation du projet par des restaurations adhésives céramiques (Facettes, Onlays, Couronnes) toujours en préservant le plus possible les tissus dentaires et parodontaux.
4. TRAITEMENT DES RÉCESSIONS GINGIVALES
Les rétractions de la gencive sont très fréquentes et peuvent être corrigées par la microchirurgie plastique parodontale.
2 exemples illustrés içi vous montrent les situations avant et après correction.




